26-27 квітня 2018 року в м. Київ у «Ramada Encore Kiev» за адресою: Столичне шосе, 103, відбувся міжнародний форум «Сучасні питання акушерства та гінекології». У рамках партнерства від МЛ ДІЛА взяли участь 15 лікарів з різних регіонів країни.
У виставковій зоні можна було ознайомитися з інформаційними матеріалами за останніми розробками МЛ ДІЛА: «Трихомоназ вагіналіз», «Запальні захворювання жіночих статевих органів», «Скринінг раку шийки матки», «BRCA», «Скринінг бактеріального вагінозу», «Комплексне генотипування ДНК ВПЛ 28 генотипів в напівкількісному форматі методом REAL TIME», Протокол кольпоскопії та інші.
Особливий інтерес учасників викликали заходи, що стосувалися практичних питань. 26 квітня 2018 року старшим науковим співробітником відділення онкогінекології Національного Інституту раку, онкогінекологом ,к.мед.н. Лигирдою Н.Ф. був проведений майстер-клас «2011 IFCPC номенклатура кольпоскопічних термінів. Роз’яснення щодо практичного застосування», у якому були представлені пропозиції від МЛ ДІЛА для:
- проведення скринінгу раку шийки матки, а саме:
1. «ПАП тест методом рідинної цитології»;
2. «Комплексне генотипування ДНК ВПЛ 28 генотипів в напівкількісному форматі методом REAL TIME»;
3. co-test скринінгу – одночасне виконання ПАП-тест методом рідинної цитології та ВПЛ дослідження;
4. reflex-test – при проведенні ПАП тесту методом рідинної цитології можливість додаткового визначення вірусу папіломи людини протягом перших 14 днів з того ж самого біологічного матеріалу або/та інфекцій, що передаються статевим шляхом «Скринінг 7 ІПСШ»;
- діагностики передпухлинної та пухлинної патології шийки матки:
1. гістологічне дослідження;
2. імуногістохімічне визначення білків р16 та Кі67.
27 квітня 18 року серед учасників, які відповіли на тестові запитання відповідно до майстер-класу Лигирди Н.Ф. на стенді МЛ ДІЛА був проведений розіграш «Подарункових сертифікатів».
Переможцями, які отримали «Подарунковий сертифікат» на проходження дослідження «Високочутливий скринінг раку шийки матки» в МЛ ДІЛА стали лікарі:
- Іщенко Марина
- Сергієнко Альона
- Астахова Ольга
- Кравець Наталія
- Потішна Олена
Вітаємо переможців та бажаємо професійного зростання!
Відповіді для проведення самоконтролю наведені нижче.
1. Які кольпоскопічні терміни шийки матки рекомендуються до використання при загальному оцінюванні шийки матки?
• задовільна/незадовільна кольпоскопічна картина
• адекватна/неадекватна кольпоскопічна картина
• стик багатошарового плоского епітелію та циліндричного епітелію: візуалізується повністю, частково, не візуалізується
• зона трансформації 1, 2, 3 типу
2. Яким буде кольпоскопічне дослідження при відсутності гострого запалення, кровотечі, рубцевих змінах та при зоні трансформації 3 типу?
• задовільним
• неадекватним
• незадовільним
• адекватним
3. Компонентами нормальної зони трансформації є:
• метапластичний епітелій різного ступеня зрілості
• відкриті залози (крипти)
• закриті залози (Наботові кісти)
• лінія стику
• епітелій ендометрію
4. Що є Золотим стандартом діагностики передпухлинної та пухлинної патології шийки матки?
• цитологічне дослідження
• гістологічне дослідження
• ВПЛ-тестування
• кольпоскопічне обстеження
5. Які дослідження використовуються для скринінгу раку шийки матки?
• цитологічне дослідження
• гістологічне дослідження
• ВПЛ-тестування
• кольпоскопічне обстеження
6. Які можливості при виконанні скринінгу раку шийки матки пропонує МЛ ДІЛА?
• co-test скринінг
• reflex test на вірус папіломи людини
• ПАП-тест методом рідинної та традиційної цитології
• нічого з вище наведеного
• все вищезазначене
7. Зона трансформації шийки матки – це частина шийки матки:
• з оригінальним плоскоклітинно-циліндричним стиком
• з новоутвореною лінією плоскоклітинно-циліндричного стику
• обмежена з периферії оригінальним плоскоклітинно-циліндричним стиком, а медіально – новою лінією плоскоклітинно-циліндричного стику
• обмежена з периферії новоутвореним плоскоклітинно-циліндричним стиком, а медіально – оригінальною лінією плоскоклітинно-циліндричного стику
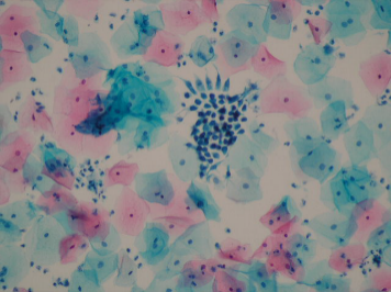
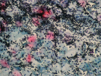
8. Препарат рідинної цитології це:
| • |
 |
| • |
 |
9. Чутливість co-test скринінгу (ПАП-тесту методом рідинної цитології та ВПЛ) складає:
• 34-89%
• 71-95%
• 82-95%
• 45-70%
10. В якому відсотку випадків може зустрічатися HSIL та рак шийки матки при лейкоплакії та кератозі?
• 10 %
• 25 %
• 30 %
• 45 %