Укр
icon
icon
7:00 - 20:00
Гаряча лінія для клієнтів
0 800 217 887
Консультація лікаря для клієнтів
0 800 219 696
Гаряча лінія для лікарів
0 800 752 180
Гаряча лінія для клієнтів
icon
0 800 217 887
7:00 - 20:00
Консультація лікаря для клієнтів
icon
0 800 219 696
7:00 - 20:00
Гаряча лінія для лікарів
icon
0 800 752 180
7:00 - 20:00
Багатоканальний телефон для мешканців міста Київ

Хронічні лімфопроліферативні хвороби (ХЛПЗ)

12.09.2017
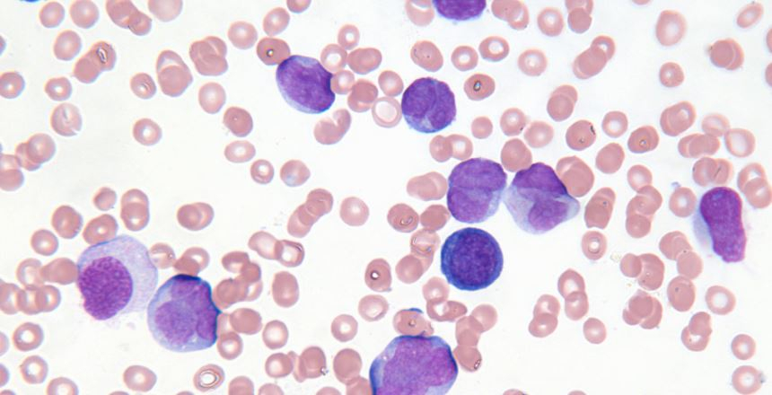
Фото - Хронічні лімфопроліферативні хвороби (ХЛПЗ)
Хронічні лімфопроліферативні хвороби (ХЛПЗ) об'єднують групу біологічно різних пухлин. Найрозповсюдженіша форма лімфопроліферативних захворюваннь у світі за даними ВООЗ - хронічний лімфоцитарний лейкоз. Більшість хворих - люди похилого віку; чоловіки хворіють в 2 рази частіше. В сучасній медичній практиці виділяють кілька форм хронічного лімфолейкозу (ХЛЛ). Від форми захворювання залежить вибір терапії та її ефективність, прогноз захворювання.
 
З 1.07.2017г в МЛ Діла впроваджене інноваційне дослідження «Іммунофенотипування лімфопроліферативних захворювань (проточна цитометрія). Це комплексне дослідження включає 22 показника і загальний аналіз крові (ЗАК).
 
Важливо: ХЛЛ завжди протікає з залученням периферичної крові, тому матеріалом для первинного дослідження може бути венозна кров. Для виявлення підваріанта ХЛЛ використовується ескпресія моноклональних антитіл, рекомендованих Британською комісією з стандартизації в гематології **: CD5, CD19, CD20, CD10, CD23, CD22 , CD16, CD56, CD3, CD4, CD8, FMC7, CD103, CD25, CD11с, CD7 та CD79b.
 
Показаниями для проведения дослідження є:
Виявлення в периферичній крові абсолютного і відносного лімфоцитоза
 
Пороговий рівень лимфоцитоза, при якому вважається необхідним проводити діагностичне іммунофенотипування - 5х109 / л- 55% при загальній кількості лейкоцитів 9х109 / л
 
Иммунофенотипування методом проточної цитометрії дозволяє:
  • встановити наявность моноклональної проліферації лімфоцитів
  • визначити «імунофенотипний» портрет клітин пухлини
  • оцінити кількість залишкових клітин пухлини після проведення терапії
Иммунофенотипувння методом проточної цитометрії використовується:
 
для розмежування реактивних та пухлинних станів, постановки точного діагнозу при різних лімфопроліферативних станах, в діагностиці таких захворювань, як:
 
I Періферічні В-клітінні лімфомі:
a. В-клітинний хронічний лімфолейкоз / лімфома з малих лімфоцитів.
б Лімфома з мантійніх клітин.
з Фолікулярна лімфома.
д. В-клітинна лімфома маргінальної зони.
е  Волосатоклітинний лейкоз
II Периферичні Т / NК-клітинні лімфоми.
III Реактивний / непухлинний лімфаденіт
IV Лейкемоїдні Реакції
 
 А також для моніторингу ефективності терапії даних захворювань.
 
Інтерпретація результату:
 
Іммунофенотипування методом проточної цитометрії, на сьогоднішній день, є «золотим стандартом» в діагностиці хронічного лімфолейкозу в світі і дозволяє визначити - CD-кластери на поверхні лімфоцитів 
Різні форми ХЛПЗ мають відповідну до підваріанту захворювання "портрет" експресії специфічних антигенів. У висновках до дослідження описується імунологічна характеристика лімфоїдної популяції з підтвердженням відповідності отриманої фенотипу щодо варіанту захворювання.
 
Завантажте наші додатки
для iOS та Android
Замовте виклик медсестри додому
Додано до кошика